Ästhetik

Tee, Kaffee, Nikotin und Rotwein sind meist die Ursache dafür, dass die Zähne mit der Zeit dunkler und gelblicher erscheinen. Wir sorgen dafür, dass Ihre Zähne wieder weiß und ohne Verfärbungen sind. Oft erreichen wir das schon mit einer professionellen Zahnreinigung. Eine weitere Möglichkeit wäre eine Zahnaufhellung (Bleaching), für die wir ebenfalls ausgereifte Verfahren anbieten. Die Zahnaufhellungen, die von uns angeboten werden, sind dabei medizinisch absolut unbedenklich.

 

Bleaching Zahnaufhellung

Strahlend weiße Zähne, in nur zwei Stunden!

Ein einziger Zahnarztbesuch - das ist alles!

Mehr braucht man nicht  für ein harmonisches, gesundes und strahlendes weißes Lächeln. Nach einer professionellen Zahnreinigung benötigen Sie etwas mehr als eine Stunde in unserer Praxis.

Vergleicht man diesen Aufwand mit dem umständlichen Hantieren eines "Do-It-Yourself" Aufhellungsprodukts, ist es kein Wunder, dass Zoom eine Revolution in der Zahnaufhellung ist.

 

Home Bleaching

Gerne bieten wir Ihnen auch die professionelle Home-Bleaching-Methode an.

Mit Hilfe einer individuell angefertigten Schiene werden Ihre Ober- und Unterkieferzähne zu Hause aufgehellt. Diese Methode sollte zahnärztlich kontrolliert werden. Kommen Sie einfach jederzeit auf uns zu.

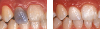
Bleaching von wurzelgefüllten Zähnen

 

 

 

 

 

 

 

 

 

Wurzelgefüllte Zähne sind Zähne, bei denen die Zahnwurzel durch die Behandlung nicht mehr aktiv ist. Diese dunkeln häufig nach und heben sich von den anderen Zähnen farblich ab. Solche Zähne mit Verfärbungen können einzeln aufgehellt werden indem wir einen Teil der Wurzelfüllung entfernen und eine Bleachingpaste in den Zahn einbringen. Diese Behandlung erfolgt über mehrere Sitzungen in unserer Praxis uns ist sehr erfolgsversprechend.

Zahnschmuck

Neben perfekt gepflegten Zähnen können Sie auch zusätzlich durch Zahnschmuck die Aufmerksamkeit auf Ihre Zähne lenken. Dabei werden kleine Steinchen, die Sie aus vielen Formen und Farben aussuchen können, ohne Ihren Zahnschmelz anzugreifen auf einen beliebigen Zahn geklebt. Für ein strahlendes Lächeln!

Hier finden Sie uns

Zahnarztpraxis Erika Weber

Annastrasse 9

32832 Augustdorf 

Terminvereinbarungen

Rufen Sie einfach an

05237 8989776 oder nutzen Sie unser Kontaktformuar.

Sprechzeiten

Tag Zeiten
Mo:         

08:15 - 12:30

14:00 - 18:00

Di:

08:15 - 12:30

14:00 - 19:00

Mi: 08:15 - 12:00
Do:

08:15 - 12:30

14:00 - 19:00

Fr: 08:15 - 12:00
Druckversion | Sitemap
© Zahnarztpraxis Erika Weber

Anrufen

E-Mail

Anfahrt